Specialista in Ortopedia e Traumatologia, Fisiochinesiterapia Ortopedica

Dottor
Maurizio Magnani

Specialista in Ortopedia e  Traumatologia, Fisiochinesiterapia Ortopedica

Il dottor Magnani con Yasser Arafat
Il dottor Magnani con le olimpioniche Salomè e Anna
Il dottor Maurizio Magnani assieme al grande Sean Connery
Il dottor Magnani con Gianni Morandi e Paolo Mengoli ad una partita della Nazionale Cantanti

Chi sono

Il Dott. Maurizio Magnani è uno dei nomi storici dell’ortopedia bolognese, con 50 anni di esperienza clinica, chirurgica e innovativa.

Un pioniere dell’artroscopia e un grande esperto di medicina rigenerativa applicata all’ortopedia.

maurizio-magnani-libro

il libro

Quando il corpo ripara sé stesso

Tiziano Zaccaria intervista il Dottor Maurizio Magnani, che ripercorre la sua vita e racconta alcune delle sue esperienze in questo libro della collana “I Quaderni della Salute

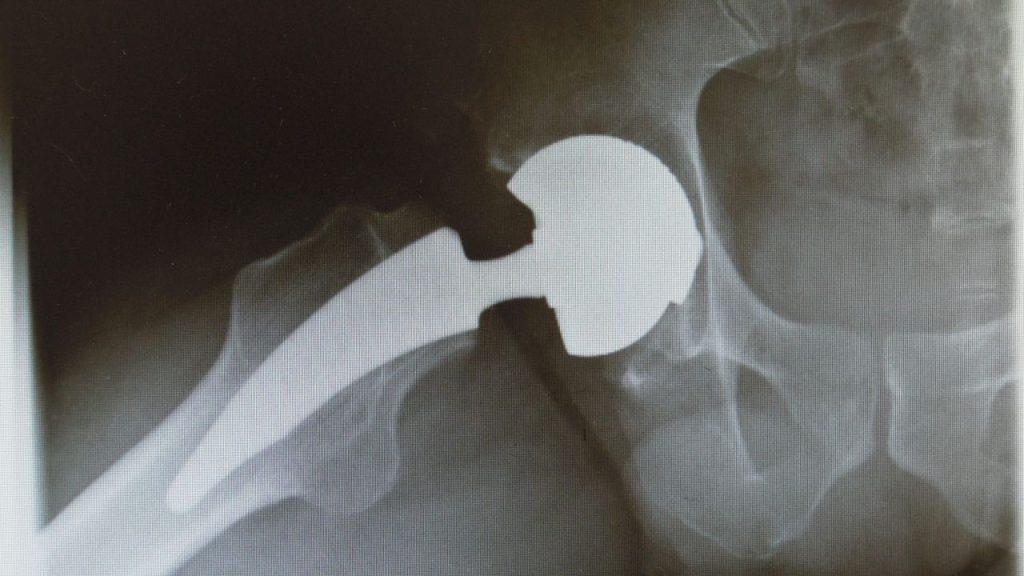
magnani-lastra-2
magnani-lastra-4
magnani-lastra-3
magnani-lastra-1
magnani-lastra-5

Chirurgia Artroscopica

  • Ginocchio (menisco, cartilagine, LCA/LCP, legamenti collaterali)

  • Spalla (cuffia dei rotatori, conflitto subacromiale, instabilità)

  • Anca (cercine acetabolare, FAI, core decompression)

  • Caviglia (lesioni cartilaginee, osteofiti, sinovite)

  • Gomito e polso (lesioni traumatiche e degenerative)

Chirurgia Protesica Mini-Invasiva

  • Protesi di anca (accesso mini-invasivo)

  • Protesi di ginocchio (mono/bi/tricompartimentale)

  • Protesi di spalla (anatomiche e inverse)

  • Protesi di caviglia (mini-invasive, con carico precoce)

Chirurgia del Piede

  • Correzione mini-invasiva dell’alluce valgo

  • Trattamento dell’alluce rigido

Chirurgia Legamentosa

  • Ricostruzione legamenti caviglia (Broström, Castaing)

Chirurgia in supporto alla rigenerazione

  • Impianto intraoperatorio di cellule mesenchimali

  • Trapianti osteocondrali e Scaffold bio-ingegnerizzati

Terapie e trattamenti non chirurgici

Medicina Rigenerativa

  • Infiltrazioni autologhe di cellule staminali mesenchimali da tessuto adiposo

  • Cellule mononucleate da sangue periferico

  • Prelievo midollare (tibia o cresta iliaca) nei casi selezionati

  • Terapia rigenerativa per: artrosi, osteonecrosi, tendinopatie, lesioni muscolari

Terapie Infiltrative

  • Acido ialuronico

  • Terapia del dolore (infiltrazioni mirate, anti-infiammatori)

Fisioterapia e Riabilitazione

  • Riabilitazione post-chirurgica e post-traumatica

  • Rieducazione articolare e muscolare

  • Protocolli Fast-Track

Fisioterapia Strumentale

  • TECAR

  • Magnetoterapia

  • Laser terapia

Ossigeno-Ozono Terapia

  • Trattamento patologie vertebrali

  • Piede diabetico e lesioni difficili

  • Infiammazioni articolari

Osteopatia

  • Rieducazione posturale

  • Trattamento disfunzioni muscolo-scheletriche

centro-clinico

Cellule mesenchimali

Negli ultimi anni si è sviluppata la medicina rigenerativa, il cui obiettivo è quello di “riparare” cellule, tessuti ed organi utilizzando le cellule staminali.

In ortopedia, una delle tecniche rigenerative più efficaci si basa sull’utilizzo delle cellule mesenchimali, un particolare tipo di staminali che stimolano la ricostruzione della cartilagine.

iniezione-ginocchio-magnani

Le ultime notizie

Maurizio-Magnani-Guermandi-Group-banner

15 Apr 2026

Tutte le risorse informative a vostra disposizione e i prossimi progetti
Magnani-Arti-Marziali-e-Chirurgia

13 Apr 2026

Arti marziali e chirurgia: la disciplina del tatami in sala operatoria
magnani-informazione-sanitaria

8 Apr 2026

L’importanza di una corretta informazione medica
centro-clinico-ortopedico-magnani

1 Apr 2026

Il Dottor Magnani racconta il Centro Clinico
Dottor-Magnani-Formazione

25 Mar 2026

Il Dottor Magnani racconta la propria formazione
maurizio-magnani-medicina-rigenerativa

26 Gen 2026

Di cosa si occupa la medicina rigenerativa?
Magnani-Risultati-Mesenchimali

23 Dic 2025

I risultati della medicina rigenerativa
Corso-Aggiornmamento-2025-OrthoAcademy

16 Ott 2025

Il Corso di Aggiornamento nelle pagine di OrthoAcademy